Invisalign® treats a wide variety of cases, including crowding, space closure, narrow arches, relapse, anterior intrusion, and limited treatment cases.
Although only an Invisalign® certified dentist can determine if Invisalign® is right for you, there's a quick way to tell if you might be a candidate. Take a look at some of the past Invisalign® patients below.
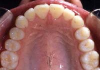
Treatment Time: 6 months
Aligners: 12 Upper, 7 Lower

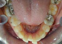
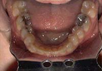
Treatment Time: 9 months
Aligners: 19 Lower

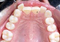
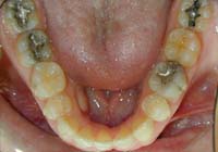
Treatment Time: 8 months
Aligners: 13 Upper, 13 Lower

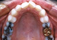
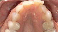
Treatment Time: 22 months
Aligners: 44 Upper, 27 Lower

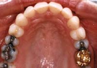
Treatment Time: 14.5 months
Aligners: 28 Upper, 28 Lower

Treatment Time: 6 months
Aligners: 13 Upper, 13 Lower

Treatment Time: 9 months
Aligners: 15 Lower

Treatment Time: 7 months
Aligners: 16 Upper
